Blanqueamiento dental en Providencia
★★★★★ 5.0 ver comentarios
Con el paso del tiempo, el esmalte se oscurece de forma natural, especialmente si consumes café, té o vino.
Si sientes que tu sonrisa se ve más opaca, un tono más claro puede rejuvenecer tu expresión y darle un aire más fresco a tu rostro.
Sesión de blanqueamiento:
$120.000 o 6 cuotas sin interés de $20.000
¿Qué incluye el blanqueamiento dental?
Sesión de blanqueamiento
Experiencia personalizada y segura.
$120.000 o 6 cuotas sin interés de $20.000.
-

Diagnóstico dental
Evaluación previa del estado de tus dientes y encías, para asegurar resultados duraderos.
-

Agente blanqueador profesional
Reconocido por su calidad.
-

Supervisión clínica
Tratamiento completamente seguro.
Control de sensibilidad por especialista.
Blanqueamiento dental con respaldo clínico
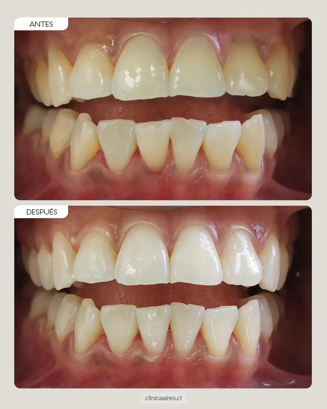
Antes y después de un blanqueamiento dental
Casos clínicos de pacientes con solo una sesión de blanqueamiento dental externo.
Los pacientes han dado su consentimiento para la publicación de casos.
Testimonios
★
Lo bueno se Comparte
★
Testimonios ★ Lo bueno se Comparte ★
¿Cuándo es recomendable
un blanqueamiento dental?
Puedes beneficiarte de un blanqueamiento dental si presentas alguno de estos signos:
Dientes amarillos o manchados por consumo de café, té, vino tinto o tabaco.
Pérdida del brillo natural de los dientes debido a la edad o al desgaste del esmalte.
Decoloración interna debido a endodoncias, golpes o consumo de ciertos medicamentos.
En Clínica Aires, puedes conseguir cambios desde la primera sesión y sin procedimientos invasivos.
Beneficios del blanqueamiento dental
-

Sonrisa más blanca, conservando estética natural
-

Mejora la apariencia de tu sonrisa y tu confianza
-

Resultados visibles desde la primera sesión
-

Procedimiento seguro y no invasivo
-

Efecto duradero con los cuidados adecuados
-

Más efectivo y seguro que pastas blanqueadoras o remedios caseros.
Tipos de blanqueamiento dental
Existen dos tipos principales. Dependiendo de la causa de la decoloración y del estado de tus dientes, nuestro especialista podrá recomendarte la mejor opción para tener una sonrisa radiante.
-
Se aplica un gel blanqueador en la superficie de los dientes.
Es ideal para manchas superficiales causadas por alimentos y hábitos.
Proceso rápido y con resultados visibles desde la primera sesión.
-
Indicado para dientes con decoloración interna que tuvieron un tratamiento de Endodoncia, ayudando a recuperar su color natural.
Se introduce un agente blanqueador dentro del diente y se sella temporalmente.
Requiere una o varias sesiones según la intensidad de la decoloración.
¿Tienes un diente más oscuro que el resto? Revisa nuestro artículo sobre blanqueamiento dental interno y conoce casos reales con antes y después.
Opiniones verificadas en Google
+100 reseñas ★★★★★
Preguntas frecuentes
-
El precio de un blanqueamiento dental en Chile puede variar según la clínica, el tipo de técnica utilizada y los productos aplicados. En Clínica Aires, el valor por sesión es de $120.000 e incluye una experiencia completa y segura:
Evaluación previa del estado de tus dientes y encías.
Aplicación de un agente blanqueador profesional reconocido por su calidad.
Supervisión clínica directa durante todo el procedimiento.
Recomendaciones personalizadas para el cuidado posterior.
Control de sensibilidad y seguimiento si es necesario.
Trabajamos con productos de alta calidad, seguros para el esmalte, que ofrecen resultados naturales sin generar sensibilidad excesiva ni efectos adversos.
El número de sesiones dependerá del diagnóstico inicial y del resultado estético que buscas. Siempre te entregamos la información completa desde la primera consulta, con claridad y sin presiones.
-
En el caso del blanqueamiento externo In-Office, con una sesión de de aproximadamente una hora ya obtendrás resultados visibles. En el caso del blanqueamiento interno, depende de cada caso.
-
No, el gel blanqueador no daña el esmalte ni lo debilita. Además, en Clínica Aires usamos técnicas y agentes que minimizan la sensibilidad dental.
Algunas personas pueden sentir algo de sensibilidad pasajera, que desaparece en pocas horas.
Si ya experimentas sensibilidad o problemas en las encías, revisa nuestro tratamiento periodontal.
-
Dependiendo de tus hábitos alimenticios y de higiene oral, los resultados pueden durar entre 6 meses o más de 2 años.
Para mantener los resultados por más tiempo, complementa con una limpieza dental regular. También puedes seguir nuestras recomendaciones postratamiento.
-
El blanqueamiento solo afecta el esmalte dental natural. Si tienes restauraciones, es importante consultar con el dentista para evaluar las mejores opciones.
-
Ya que el gel blanqueador no daña el esmalte ni lo debilita, los cuidados se centran en prolongar en el tiempo los efectos del blanqueamiento.
Si quieres saber más, revisa nuestras recomendaciones post blanqueamiento dental.
Blanqueamiento dental en Santiago
A pasos del Metro Los Leones
Av. Nueva Providencia 2214, Oficina 59,
Providencia, Región Metropolitana.
Agenda online las 24 horas o contáctanos por WhatsApp.
Ama tu sonrisa,
sin filtros
Sonríe con confianza y recupera la blancura de tu sonrisa con un tratamiento seguro de blanqueamiento dental en Clínica Aires.
14 años de Experiencia
6 Cuotas sin interés
Atendemos los sábados
Odontología libre de estrés